Jak zabezpieczyć zwierzę przed kleszczem?
W końcu nadeszła upragniona wiosna. Pora roku kochana przez ludzi i zwierzęta ze względu na możliwość częstszego spędzania czasu na łonie natury.…
W końcu nadeszła upragniona wiosna. Pora roku kochana przez ludzi i zwierzęta ze względu na możliwość częstszego spędzania czasu na łonie natury.…
Nadczynność tarczycy jest najczęściej rozpoznawaną endokrynopatią kotów. Spowodowana jest najczęściej gruczolakiem lub gruczolakowatym rozrostem komórek narządu, jedynie w niewielkim odsetku przypadków (2-3%)…
Nierozpoznane lub rozpoznane niecałkowicie jednostki chorobowe jamy nosowej psów i kotów mogą być frustrujące zarówno dla lekarza weterynarii, jak i właściciela zwierzęcia.…
Biopsja wycięciowa wraz z oceną histopatologiczną pobranego wycinka jest jednym z najcenniejszych narzędzi diagnostycznych dostępnych w dermatologii weterynaryjnej. W praktyce klinicznej badanie…
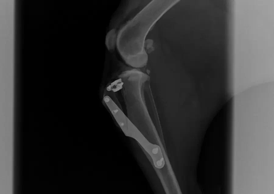
Zerwanie więzadła krzyżowego doczaszkowego jest jedną z najczęstszych przyczyn wizyt w zakładach leczniczych z powodu kulawizny u psów. Cele tego artykułu to:…
Zerwanie więzadła krzyżowego do czaszkowego jest jedną z najczęstszych przyczyn wizyt w zakładach leczniczych z powodu kulawizny u psów. Celem tego artykułu…