Kastracja chemiczna psa i suki: Co warto wiedzieć?
Kastracja chemiczna to alternatywna metoda sterylizacji, która nie wymaga operacji chirurgicznej. Jest to proces, w którym za pomocą leków lub implantów chemicznych tymczasowo…
Kastracja chemiczna to alternatywna metoda sterylizacji, która nie wymaga operacji chirurgicznej. Jest to proces, w którym za pomocą leków lub implantów chemicznych tymczasowo…
Udar mózgu u psa to stan, który należy traktować poważnie. Podobnie jak u ludzi, może on wystąpić z powodu niedokrwienia określonej części…
Padaczka u psa jest zaburzeniem układu nerwowego, spowodowanym powtarzającą się nadmierną aktywnością neuronów w mózgu. Schorzenie objawia się trwałą skłonnością do występowania…
Jednym z najczęściej występujących schorzeń u psów jest zerwanie więzadła krzyżowego przedniego w stawie kolanowym. Ten rodzaj urazu może występować także u…
Jest to choroba wrodzona mięśnia sercowego, w wyniku której dochodzi do pogrubienia ścian lewej komory. Jest to najczęściej występująca choroba serca u…
Szczenięta przychodzą na świat głuche. Narząd słuchu rozwija się u psa w pełni dopiero między 16 dniem a 5 tygodniem po porodzie,…
Czy mój pies ma niedowład? Niedowład a paraliż. Niedowład (łac. paresis) jest to osłabienie świadomej czynności ruchowej kończyny. Nie należy mylić z…
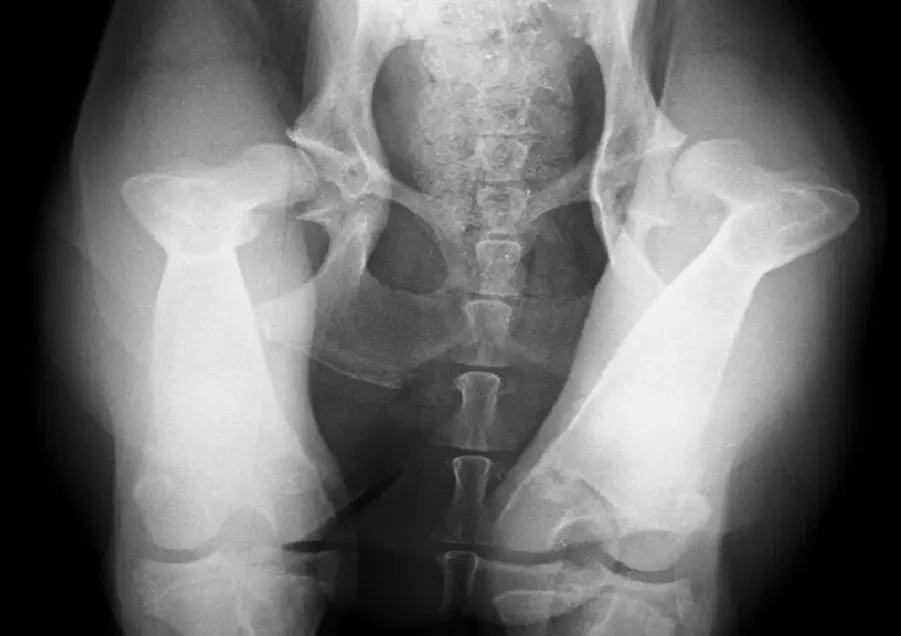
Czym jest dysplazja biodrowa? Dysplazja biodrowa oznacza nieprawidłowy rozwój stawu biodrowo-udowego i charakteryzuje się nadwichnięciem lub całkowitym zwichnięciem głowy kości udowej. Choroba…
Psia nadwaga to coraz częstsza przypadłość, która może okazać się bardzo niebezpieczna dla zdrowia naszego pupila. Ostatnie doniesienia w tym zakresie nie…