
Dysplazje
Diagnostyka i leczenie chorób rozwojowych układu ruchu
Dysplazje stawów
Grupa chorób rozwojowych układu ruchu polegających na nieprawidłowym wykształceniu się struktur stawowych. Zaburzenia te prowadzą do niestabilności stawu, przeciążenia chrząstki stawowej oraz stopniowego rozwoju zmian zwyrodnieniowych.
Dysplazje najczęściej diagnozowane są u psów ras średnich i dużych, ale również u kotów. Objawy dysplazji mogą pojawiać się już u młodych osobników, jednak często nasilają się wraz z wiekiem. W niektórych przypadkach choroba może się rozwijać bezobjawowo.
Najczęstsze rodzaje dysplazji u psów
Do najczęściej występujących chorób zaliczanych do dysplazji należą:
- dysplazje stawów biodrowych (HD –hip dysplasia),
- dysplazje stawów łokciowych (ED – elbow dysplasia),
- zaburzenia rozwojowe innych stawów, np. stawu ramiennego czy kolanowego.
Schorzenia te mogą powodować przewlekły ból, kulawiznę oraz ograniczenie ruchomości stawów.
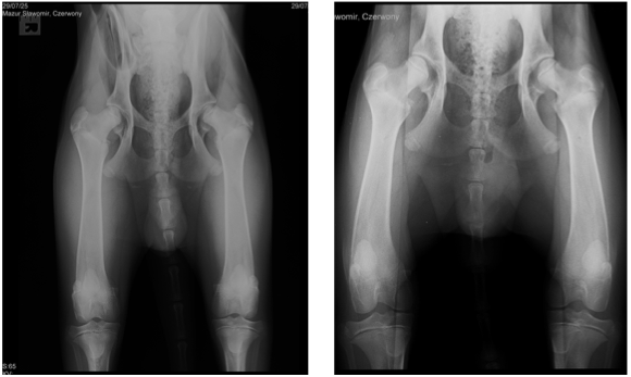
Dysplazje stawów biodrowych
Dysplazje stawów biodrowych polegają na nieprawidłowym dopasowaniu głowy kości udowej do panewki stawu biodrowego. Prowadzi to do niestabilności stawu oraz stopniowego uszkadzania chrząstki stawowej, a co za tym idzie, powstawania zwyrodnień i powstawania biodra płaskiego (coxa plana).
Objawy mogą obejmować:
- trudności ze wstawaniem,
- niechęć do ruchu,
- kulawiznę kończyn tylnych,
- kulawizna kompensacyjna, „Kicanie zająca” (bunny hopping),
- sztywność po odpoczynku.
Choroba ta często występuje u ras takich jak owczarek niemiecki, labrador retriever czy golden retriever. Od tego schorzenia nie są wolne również koty takie jak koty brytyjskie, main coony.
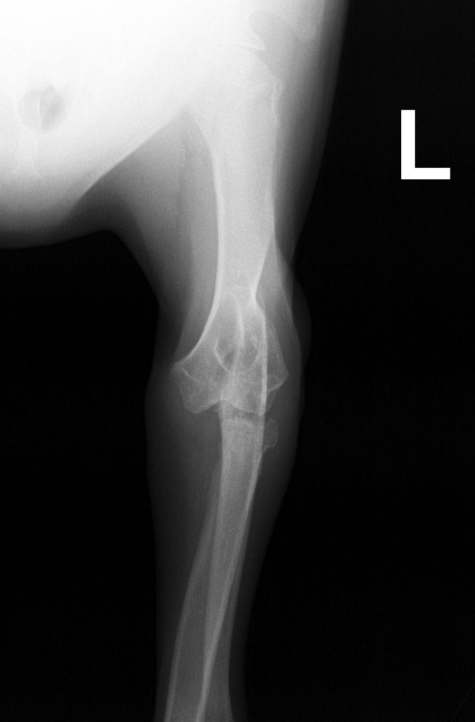
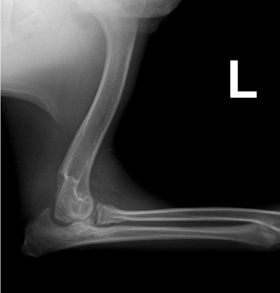
Dysplazje stawu łokciowego
Dysplazje łokciowe u psów to zespół wad rozwojowych stawu łokciowego, które prowadzą do nieprawidłowego obciążenia chrząstki i kości, a w konsekwencji – do rozwoju wczesnej choroby zwyrodnieniowej (artrozy).
Na czym polega
Pod pojęciem „dysplazja łokciowa” kryją się cztery główne nieprawidłowości:
- UAP – nieprzyrośnięty wyrostek łokciowy dodatkowy,
- FCP – fragmentacja wyrostka dziobiastego przyśrodkowego,
- OCD – osteochondroza chrząstki bloczka kości ramiennej,
- INC – inkongruencja stawu łokciowego (niedopasowanie powierzchni kości).
Wszystkie te zmiany mogą występować pojedynczo lub łącznie. Choroba rozwija się głównie u psów ras dużych i szybko rosnących (np. owczarki niemieckie, labradory, golden retrievery, rottweilery).
Objawy kliniczne
- kulawizna jednej lub obu kończyn piersiowych (często nasilająca się po wysiłku),
- sztywność i niechęć do ruchu,
- ból przy zginaniu/prostowaniu łokcia,
- charakterystyczne „odstawianie” łokci na zewnątrz.
Diagnostyka
- Wywiad i badanie kliniczne – ocena kulawizny, bolesności i zakresu ruchu,
- RTG (rentgen) – podstawowe badanie, choć ze względu na złożoność stawu łokciowego, nie zawsze pozwala wykryć wszystkie zmiany
- TK (tomografia komputerowa) – bardzo dokładna ocena struktur kostnych, szczególnie przy podejrzeniu FCP
- Artroskopia – metoda inwazyjna, ale umożliwia jednocześnie diagnostykę i leczenie (usunięcie fragmentów chrząstki/kostnych).
Jedną z metod leczenia dysplazji łokciowej jest BODPUO (Bi-Oblique Dynamic Proximal Ulnar Osteotomy – Podwójnie Skośna, Dynamiczna Osteotomia Części Bliższej Kości Łokciowej). Stosowana w leczeniu inkongruencji, OCD i choroby wyrostka koronowego.
- To rodzaj osteotomii kości łokciowej, wykonywanej w jej części bliższej.
- Kość łokciowa jest przecinana pod dwoma skośnymi kątami, co umożliwia jej przesunięcie i „odbarczenie” stawu łokciowego.
- Celem jest zmiana rozkładu sił w stawie – zmniejszenie ucisku na przyśrodkowy wyrostek dziobiasty (MCP), który najczęściej ulega uszkodzeniu w dysplazji.
- Zabieg sprzyja repozycji i stabilizacji fragmentu MCP, poprawia zgodność powierzchni stawowych i ogranicza rozwój zmian zwyrodnieniowych.
Diagnostyka dysplazji
Rozpoznanie dysplazji opiera się na badaniu ortopedycznym oraz diagnostyce obrazowej. Najczęściej stosowane badania to:
- badanie kliniczne i ortopedyczne,
- badanie rentgenowskie (RTG),
- tomografia komputerowa (TK),
- artroskopia diagnostyczna.
Badania te pozwalają ocenić stopień zmian oraz zaplanować odpowiednie leczenie.
Leczenie dysplazji u psów
Metoda leczenia zależy od wieku zwierzęcia, stopnia zaawansowania choroby oraz nasilenia objawów.
Stosowane metody obejmują:
- leczenie zachowawcze (farmakoterapia, kontrola masy ciała),
- rehabilitację i fizjoterapię,
- leczenie chirurgiczne.
W wielu przypadkach odpowiednio dobrane leczenie pozwala znacząco poprawić komfort życia psa oraz ograniczyć rozwój zmian zwyrodnieniowych.
źródła:
https://www.msdvetmanual.com/musculoskeletal-system/arthropathies-and-related-disorders-in-small-animals/elbow-dysplasia-in-dogs?
N. Fitzpatrick, A. Caron, M.A. Solano, Bi-oblique dynamic proximal ulnar osteotomy in dogs: reconstructed computed tomographic assessment of radioulnar congruence over 12 weeks, Vet Surg.2013 Aug;42(6):727-38. doi: 10.1111/j.1532-950X.2013.12014.x. Epub 2013 Apr 29. PMID: 23627790.
Caron A, Fitzpatrick N. Bi-Oblique Dynamic Proximal Ulnar Osteotomy: Surgical Technique and Clinical Outcome in 86 Dogs. Vet Surg. 2016 Apr;45(3):356-63. doi: 10.1111/vsu.12464. Epub 2016 Mar 24. PMID: 27008917.
Holsworth, I. G., Wisner, E. R., Scherrer, W. E., Filipowitz, D., Kass, P. H., Pooya, H., Larson, R. F., & Schulz, K. S. (2005). Accuracy of computerized tomographic evaluation of canine radio-ulnar incongruence in vitro. Veterinary surgery : VS, 34(2), 108–113. https://doi.org/10.1111/j.1532-950X.2005.00018.x
Fitzpatrick, N., Caron, A. and Solano, M.A. (2013), Bi-Oblique Dynamic Proximal Ulnar Osteotomy in Dogs: Reconstructed Computed Tomographic Assessment of Radioulnar Congruence over 12 weeks. Veterinary Surgery, 42: 727-738. https://doi.org/10.1111/j.1532-950X.2013.12014.x
Böttcher, P., Bräuer, S., & Werner, H. (2013). Estimation of joint incongruence in dysplastic canine elbows before and after dynamic proximal ulnar osteotomy. Veterinary surgery : VS, 42(4), 371–376. https://doi.org/10.1111/j.1532-950X.2013.01085.x
Przeczytaj na blogu
12 maja 2026
Jeszcze kilkanaście lat temu sezon na kleszcze był wyraźnie ograniczony do wiosny i jesieni. Dziś, z…
5 maja 2026
Gdy u domowego pupila pojawia się podwyższona temperatura ciała, wielu opiekunów odczuwa uzasadniony, narastający niepokój. Bardzo…
19 marca 2026
Gdy pojawiają się problemy żołądkowe u psa, wielu opiekunów od razu zaczyna się martwić. Zrozumiałe jest,…