Kamienie moczowe w pęcherzu buldoga angielskiego
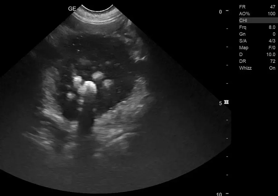
Tym razem naszym pacjentem był Gucci – prawie dwuletni buldog angielski. Trafił do kliniki, ponieważ właściciele zauważyli, że przestał oddawać mocz, ponadto…
Tym razem naszym pacjentem był Gucci – prawie dwuletni buldog angielski. Trafił do kliniki, ponieważ właściciele zauważyli, że przestał oddawać mocz, ponadto…
Lexus – kot brytyjski krótkowłosy – został skierowany do naszej kliniki z innego ośrodka leczenia zwierząt, w której wykonano USG i…
Właściciele pięcioletniego Mailow (border collie) już kilka lat temu zaobserwowali u swojego psa kulawiznę. Postanowili zgłosić się do lekarza weterynarii, który zlecił…
Wspominaliśmy już kilkukrotnie na naszym blogu, że usuwanie ciał obcych z przełyku, czy żołądka to dość częsty zabieg przeprowadzany w naszej klinice.…
Do Kliniki zgłosił się właściciel z dwoma kotami. Po powrocie z pracy zauważył zniknięcie włóczki. Podejrzewając, że została ona połknięta przez jednego…
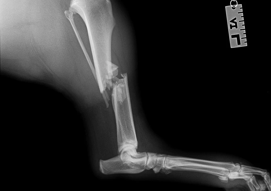
Trzyletni pies Reksio trafił do nas po 3 dniach od urazu, którego efektem było złamanie kości piszczelowej lewej. Złamanie zostało potwierdzone po…
Pago to 4 letni buldożek francuski. Zgłosił się do naszej kliniki, aby wykonać kontrolny rezonans. Z historii pacjenta dowiedzieliśmy się, że Pago…
Nieodłączna część każdego psiego harmonogramu — spacer — prowadzi często do wielu kontuzji i niespodziewanych wydarzeń. Żaden z właścicieli nie jest w…
Tiffani trafiła do naszej kliniki z ekstruzją dysku L1/L2. Pojawiały się u niej nagłe zdarzenia objawiające się bolesnością, w późniejszym czasie głównym…
Lena, dziesięcio letnia suczka, mieszaniec, trafiła do naszej Kliniki kilka miesięcy temu na konsultację kardiologiczną z uwagi na obecność przewlekłego kaszlu. W…