
Kardiologia weterynaryjna
Diagnostyka i leczenie chorób serca u psów i kotów
Kardiologia weterynaryjna – serce na 100%
Serce – najważniejszy silnik w organizmie
Serce to jeden z najważniejszych organów. Pompa, która pracuje bez przerwy przez całe życie. Odpowiada za napędzanie całego układu krążenia, dostarczając tlen i niezbędne składniki odżywcze do każdej komórki ciała, jednocześnie dbając o odprowadzanie szkodliwych produktów przemiany materii. Kiedy serce zaczyna pracować w sposób nieprawidłowy, konsekwencje szybko odczuwa cały organizm psa lub kota w tym narządy tak kluczowe jak nerki czy wątroba.
Kardiologia weterynaryjna to fascynująca i niezwykle dynamicznie rozwijająca się dziedzina. Dzisiejsi specjaliści ratujący nasze czworonogi korzystają z wiedzy i technologii, które niczym nie ustępują standardom znanym z kardiologii ludzkiej.
Ta gałąź medycyny zajmuje się nie tylko leczeniem chorób serca i naczyń krwionośnych, ale przede wszystkim ich zaawansowaną diagnostyką i wczesnym, prewencyjnym wykrywaniem. Kardiolodzy weterynaryjni z powodzeniem diagnozują zarówno skomplikowane wady wrodzone u kilkutygodniowych szczeniąt i kociąt, jak i nabyte, postępujące z wiekiem schorzenia u zwierzęcych seniorów, oferując im szansę na dłuższe i dużo bardziej komfortowe życie.
Cichy rozwój choroby: dlaczego czas ma znaczenie?
Zwierzęta, w przeciwieństwie do ludzi, rzadko okazują słabość. Są absolutnymi mistrzami w ukrywaniu bólu i gorszego samopoczucia. Wynika to z ich silnego, ewolucyjnego instynktu przetrwania w naturze okazywanie objawów choroby oznacza bycie łatwym celem. Z tego powodu schorzenia kardiologiczne u psów i kotów potrafią rozwijać się całkowicie bezobjawowo przez wiele miesięcy, a nierzadko nawet lat.
Kardiologia weterynaryjna jest niezbędnym narzędziem kontroli dobrostanu pupili. Zanim właściciel zauważy, że z jego pupilem dzieje się coś niepokojącego, serce zwierzęcia często pracuje już na skrajnych obrotach. Jak to możliwe?
- Zjawisko kompensacji: Organizm zwierzęcia potrafi niesamowicie długo „nadrabiać” ubytki w pracy chorego serca. Serce może zacząć bić szybciej lub powiększyć swoją objętość, by za wszelką cenę dostarczyć tlen do narządów. Tworzy to iluzję pełni zdrowia.
- Nagłe załamanie: Gdy mechanizmy obronne organizmu w końcu się wyczerpią (następuje tzw. dekompensacja), objawy pojawiają się nagle i ze zdwojoną siłą. Dochodzi do groźnych zaburzeń krążenia, duszności czy omdleń, a jakość życia pupila drastycznie spada.
Wyprzedzić chorobę: dlaczego profilaktyka ratuje życie?
To właśnie dlatego współczesna kardiologia weterynaryjna całkowicie zmieniła swoje podejście – dziś nie czeka biernie na pojawienie się pierwszych niepokojących objawów, lecz skupia się na aktywnym wyprzedzaniu choroby. Wczesna diagnostyka odgrywa tu absolutnie kluczową.
Podstawą są regularne, profilaktyczne badania osłuchowe (wykonywane choćby podczas corocznych szczepień) oraz specjalistyczne badanie USG serca (echokardiografia), szczególnie ważne u pacjentów w średnim wieku lub ras obciążonych genetycznie.
Wykrycie problemu na etapie bezobjawowym, na długo zanim dojdzie do widocznej w skutkach niewydolności krążenia, daje lekarzowi i właścicielowi ogromną, strategiczną przewagę. Dlaczego to takie ważne?
- Ochrona przed nieodwracalnymi zmianami: Dysponujemy dziś lekami, które potrafią spowolnić negatywną przebudowę i przerost mięśnia sercowego (tzw. remodeling), chroniąc ten kluczowy narząd przed drastycznie szybkim zużyciem.
- Czas na łagodne zmiany: Opiekun ma szansę wdrożyć odpowiednią dietę i delikatnie zmodyfikować aktywność fizyczną zwierzaka bez niepotrzebnego stresu, jaki towarzyszy nagłym wizytom na ostrym dyżurze.
- Bezpieczeństwo zabiegów: Świadomość ukrytej wady serca jest bezcenna, gdy pupil musi przejść choćby rutynowe znieczulenie (np. podczas usuwania kamienia nazębnego czy badań obrazowych takich jak tomografia komputerowa lub rezonans magnetyczny).
Kariologia weterynaryjna pozwala odpowiednio wcześnie wdrożyć leczenie, które na celu ma nie tylko przedłużanie życia zwierzęcia. To przede wszystkim gwarancja, że Twój pupil zachowa pełen komfort, bezbolesne funkcjonowanie i radość z każdego wspólnego dnia.
Kiedy warto skonsultować się z kardiologiem weterynaryjnym?
Choroby serca u psów i kotów mogą objawiać się w różny sposób, a niektóre z nich rozwijają się przez długi czas bez wyraźnych objawów.
Do najczęstszych objawów problemów kardiologicznych należą:
- duszność lub przyspieszony oddech,
- szybkie męczenie się podczas spacerów,
- osłabienie lub spadek aktywności,
- omdlenia,
- powiększenie obrysu brzucha związane z nagromadzeniem płynu.
Konsultacja kardiologiczna jest również wskazana w przypadku wykrycia szmeru nad sercem podczas badania klinicznego lub nieprawidłowych wyników badań diagnostycznych.



Jak wygląda nowoczesna diagnostyka kardiologiczna?
Współczesna weterynaria dokonała ogromnego skoku technologicznego. Nasze placówki dysponują sprzętem, który swoją precyzją, jakością obrazu i zaawansowaniem niczym nie ustępuje aparaturze stosowanej w najlepszych szpitalach dla ludzi. Kardiologia weterynaryjna to dziedzina, która pełnymi garściami czerpie z najnowszych osiągnięć inżynierii medycznej, by ratować życie naszych czworonogów.
Choć stetoskop wciąż pozostaje nieodłącznym atrybutem i bardzo ważnym narzędziem w rękach lekarza, osłuchanie pacjenta to obecnie zaledwie pierwszy krok do postawienia trafnej diagnozy. Kardiologia weterynaryjna i towarzysząca jej diagnostyka przypomina dziś fascynujące, wieloetapowe „śledztwo” diagnostyczne.
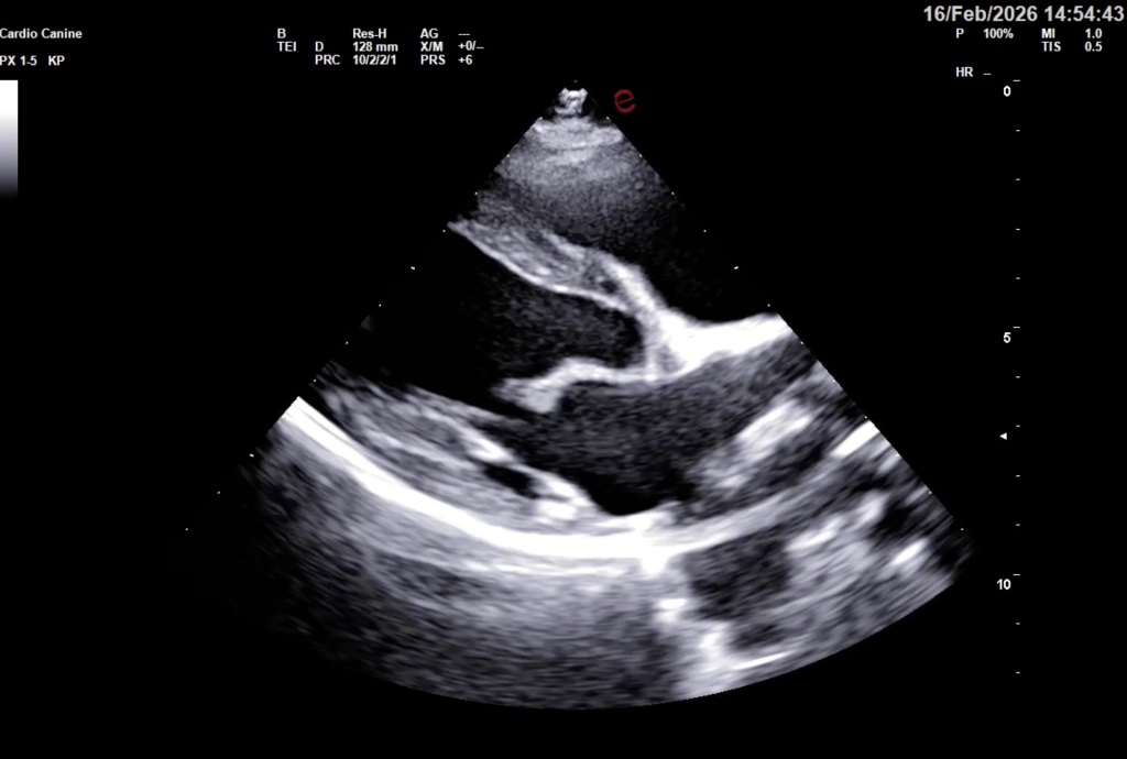
Aby precyzyjnie ocenić ukryte funkcje serca, nowoczesna kardiologia wykorzystuje między innymi wysokiej klasy aparaty ultrasonograficzne. Pozwalają one lekarzowi nie tylko na żywo obserwować pracę zastawek, ale też mapować przepływ krwi i mierzyć grubość ścian mięśnia sercowego z dokładnością do ułamków milimetra – i to wszystko całkowicie bezboleśnie dla zwierzaka.
To szczegółowe dochodzenie medyczne, mające na celu znalezienie dokładnego źródła problemu, obejmuje najczęściej:
- Echokardiografię (USG serca): Złoty standard w kardiologii. Pozwala na bezbolesne „zajrzenie” do wnętrza bijącego serca w czasie rzeczywistym, ocenę pracy zastawek i grubości ścian mięśnia sercowego.
- Pomiar ciśnienia krwi: Wykonywany specjalnym, miniaturowym mankietem, niezwykle ważny szczególnie w przypadku kotów.a oraz obecność zmian w obrębie płuc i układu krążenia.
- EKG (Elektrokardiogram): Służy do oceny elektrycznej aktywności serca i wychwytywania niebezpiecznych arytmii.
- RTG klatki piersiowej: Pozwala ocenić wielkość sylwetki serca oraz stan płuc (np. obecność płynu).
Najczęstsze choroby serca u psów i kotów
Choroby serca mogą mieć charakter wrodzony lub rozwijać się w trakcie życia zwierzęcia.
Do najczęściej diagnozowanych chorób kardiologicznych należą:
- choroba zwyrodnieniowa zastawki mitralnej (MMVD-myxomatous mitral valve disease),
- kardiomiopatia przerostowa u kotów (HCM – hypertrophic cardiomyopathy)
- kardiomiopatia rozstrzeniowa u ras dużych i olbrzymich (DCM – dilated cardiomyopathy),
- niewydolność serca (CHF – cardiac heart failure),
- wrodzone wady serca.
Kardiologia prewencyjna pozwala na wczesne rozpoznanie choroby, a regularne kontrole kardiologiczne umożliwiają skuteczne monitorowanie stanu zdrowia pacjenta i dobranie odpowiedniego leczenia.


Leczenie chorób serca u zwierząt
Każdy pacjent kardiologiczny jest inny, dlatego nie istnieje jeden uniwersalny schemat leczenia. Terapia zawsze jest ściśle dopasowana do konkretnego pacjenta, rodzaju zdiagnozowanego schorzenia oraz stopnia jego zaawansowania. Głównym celem leczenia jest odciążenie serca, poprawa jakości życia zwierzaka oraz zahamowanie postępu choroby.
Kardiologia kompleksowa opiera się na kilku kluczowych filarach:
Regularne wizyty kontrolne
Choroby serca mają charakter dynamiczny, dlatego stan zdrowia pupila musi być regularnie sprawdzany. Kardiologia i wizyty kontrolne, połączone z kontrolnym echem serca czy badaniem krwi (leki kardiologiczne obciążają nerki, więc trzeba monitorować ich stan!), pozwalają lekarzowi ocenić postępy i w razie potrzeby zmodyfikować dawki leków.
Kliknij tutaj aby umówić wizytę
Nowoczesna farmakoterapia
Większość chorób serca wymaga podawania leków do końca życia. Na szczęście współczesna kardiologia weterynaryjna oferuje preparaty, które są bardzo dobrze tolerowane przez zwierzęta. W zależności od potrzeb, lekarz może przepisać leki poprawiające kurczliwość mięśnia sercowego, obniżające ciśnienie krwi, regulujące rytm serca (antyarytmiczne) lub leki moczopędne, które pomagają pozbyć się niebezpiecznego płynu z płuc i klatki piersiowej.
Dieta przyjazna sercu
Żywienie ma ogromne znaczenie dla pacjentów kardiologicznych! Często zaleca się karmy o obniżonej zawartości sodu (soli) oraz suplementację kwasów tłuszczowych Omega-3, L-karnityny czy tauryny, które naturalnie wspomagają pracę mięśnia sercowego.
Żywienie pacjentów kardiologicznych
Mądra aktywność fizyczna
Chore serce nie oznacza całkowitego zakazu ruchu, ale wymaga zmiany nawyków. Zamiast intensywnych biegów za piłką, rzucania frisbee czy wyczerpujących wędrówek, zalecane są krótsze, spokojne spacery. Szczególną ostrożność należy zachować w upalne dni, kiedy układ krążenia jest naturalnie przeciążony.
Domowy monitoring – najważniejsza rola Opiekuna
Kardiologia to praca zespołowa lekarza i opiekuna. Niezwykle cennym narzędziem jest liczenie oddechów zwierzęcia w czasie głębokiego snu (tzw. spoczynkowa liczba oddechów). To proste, domowe badanie pozwala w porę zauważyć, czy w płucach nie zaczyna zbierać się płyn.

źródła: